© dottormaisano.com
La stenosi valvolare aortica è una condizione frequente, sopratutto nelle persone con età superiore a 70 anni. Nella stenosi valvolare aortica, la valvola diventa più rigida, si apre meno efficientemente, fino a diventare un problema per il cuore. Si genera un gradiente di pressione fra il ventricolo sinistro e l'aorta, che rappresenta lo sforzo aggiuntivo del ventricolo per garantire un flusso adeguato alla vita. Con il tempo, il gradiente diventa cosi alto da generare sintomi e eventualmente diventare incompatibile con la vita. La forma piu frequente, la stenosi aortica degenerativa dell'anziano, è una degenerazione calcifica, legata al processo aterosclerotico. Nelle fasi iniziali asintomatica, ma nel tempo subisce un peggioramento esponenziale (il gradiente è inversamente proporzionale al quadrato del raggio della apertura della valvola). I sintomi iniziali sono solitamente l'affaticabilità e la dispnea (mancanza di fiato) durante gli sforzi. Sono frequenti anche palpitazioni e dolori al petto. Nelle forme più severe, la stenosi aortica può esordire con una sincope (perdita di coscienza) dovuta alla riduzione del flusso al cervello.
La stenosi aortica non ha terapia medica, e deve essere trattata per via chirurgica o transcatetere (vedi le pagine sui trattamenti)
Oltre alle forme degenerative, la stenosi aortica puo essere legata ad una malformazione congenita (bicuspidia aortica), e in questo caso la stenosi si sviluppa in età più giovanile. Più rara ai giorni nostri la forma post-reumatica.

La stenosi aortica è un restringimento dell'apertura della valvola aortica, che ostacola il flusso sanguigno dal cuore al resto del corpo. Questo costringe il cuore a lavorare di più per pompare il sangue, portando nel tempo a un indebolimento del muscolo cardiaco.

Le cause principali includono:

I sintomi possono includere:
È fondamentale riconoscere questi sintomi e consultare un medico per una diagnosi accurata. Una diagnosi precoce consente trattamenti efficaci e migliora la qualità di vita.

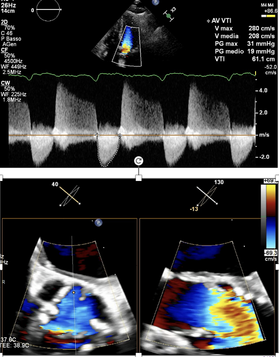
la diagnosi viene fatta con un esame non invasivo e indolore, l'ecocardiografia color-Doppler.Per completare le indagini, viene anche eseguita una tac del cuore e degli accessi vascolari per valutare la fattibilità di interventi non invasivi e escludere patologie concomitanti
Quali sono le opzioni terapeutiche per la stenosi aortica?



L'Impianto di valvola aortica transcatetere (TAVI) è una procedura meno invasiva in cui una nuova valvola viene inserita attraverso un catetere, spesso utilizzata per pazienti ad alto rischio chirurgico o non idonei per la chirurgia a cuore aperto.
Nella sostituzione mediante chirurgia a cuore aperto (SAVR): la valvola danneggiata viene sostituita con una protesi meccanica o biologica attraverso un intervento chirurgico tradizionale, puo essere eseguito in maniera miniinvasiva
Monitoraggio: nei casi lievi e asintomatici, può essere sufficiente un controllo periodico con esami ecocardiografici e visite mediche.
Terapia farmacologica: farmaci possono alleviare i sintomi, ma non risolvono il problema alla valvola.
La scelta del trattamento dipende da vari fattori, tra cui l'età del paziente, le condizioni di salute generale e la presenza di altre patologie. È essenziale discutere con il proprio medico le opzioni disponibili per determinare la soluzione più adatta e affidarsi ad un centro con comprovata esperienza
© dottormaisano.com